Cabinet Dentaire et d'Implantologie du Dr NITCHOUN
Chirurgien-Dentiste à PARIS, D.U.Implantologie
ACCUEIL
LE CABINET
PLAN D'ACCÈS
URGENCES
VIDÉOS
FICHES CONSEILS
QUESTIONNAIRE COVID-19
Contact
ACCUEIL
LE CABINET
PLAN D'ACCÈS
URGENCES
VIDÉOS
FICHES CONSEILS
QUESTIONNAIRE COVID-19
Contact
Cabinet Dentaire et d'Implantologie du Dr NITCHOUN
93 rue de Lourmel
75015
PARIS
Chirurgien-Dentiste à PARIS, D.U.Implantologie
+33144263366
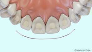
Fil de contention
Vidéos 3D
Partager
Twitter
Partager
Partager
Envoyer
Copier
Cabinet Dentaire et d'Implantologie du Dr NITCHOUN
93 rue de Lourmel
75015
PARIS
+33144263366
Pour en savoir plus
Politique de confidentialité et charte cookie
Mentions légales
Conditions Générales Utilisation
Charte déontologique
Ordre national
Annuaires chirurgiens dentistes
Contact
93 rue de Lourmel
75015
PARIS
+33144263366
Création par
Connexion